Endodontics 2025 v15n3 - DentalGO
Volume 15 • Número 3 • 2025

Endodontics 2025 v15n3

Endodontics 2025 v15n3

Artigos nesta edição

Editorial

Entre evidência e engajamento: o papel da ciência na era digital

Vivemos uma era curiosa: nunca tivemos tanto acesso à informação e, paradoxalmente, nunca foi tão difícil separar conhecimento de opinião, evidência de achismo, ciência de algoritmo. As redes sociais transformaram a forma como co...
Caso Clínico

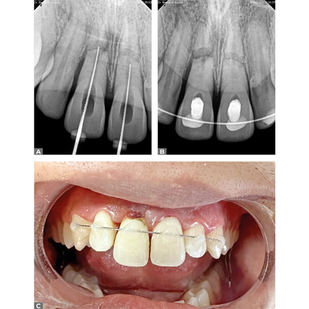
Manejo conservador de fraturas radiculares traumáticas em incisivos centrais superiores: relato de caso com dois anos de controle

INTRODUÇÃO: O trauma dentário pode resultar em diversas complicações, principalmente quando não tratado adequadamente. O hidróxido de cálcio é amplamente utilizado como medicação intracanal devido às suas propriedades bacteri...
endodontia Traumatismos Dentários Hidróxido De Cálcio
Artigo Original

Avaliação comparativa de três aparelhos de raios X portáteis, quanto ao risco de exposição à radiação para o profissional e à qualidade das imagens obtidas

OBJETIVO: Determinar, entre diferentes marcas de aparelhos de raios X portáteis — Diox (Acteon, Brasil), Port-X (Genoray, Bélgica) e P03 (DMM Health, Coreia) — qual promoveria a menor incidência de radiação primária e secundár...
Tecnologia dentária Tecnologia radiológica Tecnologia sem fio
Artigo Original

Influência de diferentes conicidades de preparo na extrusão de detritos

OBJETIVO: O objetivo desse estudo foi avaliar a influência de diferentes conicidades de preparo cervical e médio de molares inferiores na extrusão apical de detritos em dentes prototipados. MÉTODOS: Setenta e seis réplicas de m�...
extrusao detritos Dentes prototipados Pré-alargamento
Artigo Original

Análise microtomográfica da obturação termoplástica endodôntica de canais achatados com condensação vertical ultrassônica

OBJETIVO: O objetivo desse estudo foi avaliar a qualidade da obturação de canais distais achatados de molares inferiores, utilizando a condensação vertical ultrassônica (CVU), em comparação com a técnica de onda contínua de cond...
endodontia Obturação do sistema de canais radiculares Canais achatados Termoplastificação Condensação vertical ultrassônica
Tópico Especial

Tratamento endodôntico pré e pós-radioterapia na região de cabeça e pescoço: uma revisão integrativa

INTRODUÇÃO: A radioterapia (RT) na região de cabeça e pescoço aumenta o risco de complicações odontológicas, como a osteorradionecrose (ORN), tornando o tratamento endodôntico uma possível alternativa à extração dentária. O...
revisao radioterapia Tratamento Do Canal Radicular Neoplasias de cabeça e pescoço
Original Article

Between evidence and engagement: the role of science in the digital era

We live in a curious era: never have we had so much access to information and, paradoxically, never has it been so difficult to separate knowledge from opinion, evidence from guesswork, science from algorithm. Social media has transforme...
Original Article

Conservative management of traumatic root fractures in upper central incisors: case report with two years of follow-up

INTRODUCTION: Dental trauma can result in various complicatioINTRODUCTION: Dental trauma can result in various complications, especially when not treated properly. Calcium hydroxide is widely used as an intracanal medication due to its b...
Tooth injuries Endodontics Calcium Hydroxide
Original Article

Comparative evaluation of three portable X-ray devices regarding radiation exposure risk to the professional and the quality of obtained images

OBJECTIVE: To determine, among different brands of portable X-ray devices—Diox (Acteon, Brazil), Port-X (Genoray, Belgium), and P03 (DMM Health, Korea)—which would promote the lowest incidence of primary and secondary radiation, as w...
Dental technology Radiological technology Wireless technology
Original Article

Influence of different preparation tapers on debris extrusion

OBJECTIVE: This study aimed to evaluate the influence of different cervical and middle third preparation tapers in mandibular molars on apical debris extrusion in prototyped teeth. METHODS: Seventy-six replicas of mandibular molars were...
debris Extrusion Prototyped teeth Pre-flaring
Original Article

Microtomographic analysis of endodontic thermoplastic obturation of flattened canals with ultrasonic vertical condensation

OBJECTIVE: The aim of this study was to evaluate the obturation quality of flattened distal canals of mandibular molars using ultrasonic vertical condensation (UVC) compared to the continuous wave of condensation (CWC) technique through...
Endodontics Root canal system obturation Flattened canals Thermoplasticization Ultrasonic vertical condensation
Original Article

Endodontic treatment before and after head and neck radiotherapy: an integrative review

INTRODUCTION: Head and neck radiotherapy (RT) increases the risk of oral complications, such as osteoradionecrosis (ORN), making endodontic treatment a potential alternative to tooth extraction. This study aims to review the strategies d...
Root Canal Therapy Review Radiotherapy Head and neck neoplasms