Artigo: Avaliação da qualidade do preparo e da fadiga torcional de instrumentos de NiTi com tratamento térmico após a instrumentação de canais radiculares em temperatura corporal - Endodontics 2025 v15n2 - DentalGO


Avaliação da qualidade do preparo e da fadiga torcional de instrumentos de NiTi com tratamento térmico após a instrumentação de canais radiculares em temperatura corporal

Artigo Original

OBJETIVO: O objetivo foi avaliar, por meio de microtomografia computadorizada (micro-CT), a capacidade de modelagem e segurança de diferentes instrumentos em canais mesiais de molares inferiores após o uso a 37ºC e 20ºC. MÉTODOS: Trinta e seis molares inferiores humanos extraídos foram escaneados por micro-CT e divididos em três grupos (n=12), conforme o sistema de instrumentação: Reciproc Blue (REC), ProDesign R (PDR) e X1 Blue File (X1), subdivididos por temperatura (n=6; 20ºC e 37ºC). Após a instrumentação, os espécimes foram reescaneados e analisados quanto ao aumento de...

Autores: Marco Antonio Húngaro Duarte, Rodrigo Ricci Vivan, Murilo Priori Alcalde, Gabriela Gonçalez Piai, Giovanna Demarquis PINTO, Ana Giulia Lenci PACCOLA, 

ARTIGO ANTERIOR PRÓXIMO ARTIGO
A Inteligência Artificial está superando a inteligência humana ou estamos apenas nos esquecendo de como pensar?
A Inteligência Artificial está superando a inteligência humana ou estamos apenas nos esquecendo de como pensar?

A Inteligência Artificial (IA) tem protagonizado avanços impressionantes e tem ganhado notoriedade nos últimos anos. Da geração de textos e imagens à realização de diagnósticos médicos, há uma sensação crescente e inquietante de que estamos sendo superados por máquinas. Mas será que a IA é realmente mais inteligente do que nós? Ou estamos apenas formando mal os profissionais?

Leia mais
Tratamento de lesão endo-periodontal em molar superior com anatomia em C: relato de caso com acompanhamento tomográfico
Tratamento de lesão endo-periodontal em molar superior com anatomia em C: relato de caso com acompanhamento tomográfico

OBJETIVO: Relatar o tratamento de uma lesão endo-periodontal em um molar superior com anatomia em “C” e apresentar o reparo completo, após um ano de acompanhamento, com tomografia computadorizada de feixe cônico (TCFC). RELATO DE CASO: Paciente do sexo masculino, 15 anos de idade, procurou atendimento relatando dor, dificuldade mastigatória e presença de fístula na mucosa vestibular do dente #17. A fistulografia mostrou o trajeto do cone de guta-percha até a região da furca,...

Leia mais
Avaliação da qualidade do preparo e da fadiga torcional de instrumentos de NiTi com tratamento térmico após a instrumentação de canais radiculares em temperatura corporal
Avaliação da qualidade do preparo e da fadiga torcional de instrumentos de NiTi com tratamento térmico após a instrumentação de canais radiculares em temperatura corporal

OBJETIVO: O objetivo foi avaliar, por meio de microtomografia computadorizada (micro-CT), a capacidade de modelagem e segurança de diferentes instrumentos em canais mesiais de molares inferiores após o uso a 37ºC e 20ºC. MÉTODOS: Trinta e seis molares inferiores humanos extraídos foram escaneados por micro-CT e divididos em três grupos (n=12), conforme o sistema de instrumentação: Reciproc Blue (REC), ProDesign R (PDR) e X1 Blue File (X1), subdivididos por temperatura (n=6; 20ºC e...

Leia mais
Considerações clínicas e de diagnóstico de uma reabsorção externa inflamatória associado a lesão periodontal: relato de caso
Considerações clínicas e de diagnóstico de uma reabsorção externa inflamatória associado a lesão periodontal: relato de caso

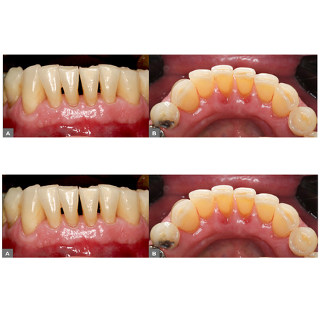
INTRODUÇÃO: Uma reabsorção externa inflamatória apresenta diagnóstico desafiador na identificação da sua extensão e na natureza do processo, especialmente quando o defeito de reabsorção se encontra nas faces vestibular ou palatina. OBJETIVO: Descrever o diagnóstico e tratamento de um paciente com uma reabsorção externa inflamatória em dente permanente associado a um quadro de periodontite avançada. RELATO DE CASO: Paciente apresentando periodontite com extensa perda óssea...

Leia mais
Retratamento endodôntico seletivo de abscesso apical crônico guiado por TCFC: relato de caso
Retratamento endodôntico seletivo de abscesso apical crônico guiado por TCFC: relato de caso

INTRODUÇÃO: Fístulas cutâneas de origem dentária representam um desafio diagnóstico e terapêutico, especialmente quando há manifestações extrabucais. A tomografia computadorizada de feixe cônico (TCFC) pode ser fundamental para identificar canais previamente não tratados e guiar retratamentos minimamente invasivos. OBJETIVO: Esse artigo tem como objetivo apresentar o caso clínico de um paciente do sexo masculino, com de 19 anos de idade, que apresentou uma lesão extrabucal...

Leia mais
Eficácia antimicrobiana comparativa da N-acetilcisteína e do hidróxido de cálcio contra Enterococcus faecalis: estudo in vitro
Eficácia antimicrobiana comparativa da N-acetilcisteína e do hidróxido de cálcio contra Enterococcus faecalis: estudo in vitro

OBJETIVO: Avaliar e comparar a efetividade antimicrobiana e a velocidade de ação da N-acetilcisteína (NAC) e do hidróxido de cálcio [Ca(OH)₂] contra Enterococcus faecalis ao longo de 24, 48, 72 e 96 horas, por meio de análise microbiológica in vitro. MATERIAL E MÉTODOS: Culturas padronizadas de E. faecalis (ATCC 29212) foram expostas à NAC (200 mg/mL) e ao Ca(OH)₂ por diferentes períodos de incubação. O grupo controle consistiu em culturas bacterianas sem medicação. As...

Leia mais
Uma análise reológica dos cimentos à base de silicato de cálcio e resina epóxi
Uma análise reológica dos cimentos à base de silicato de cálcio e resina epóxi

INTRODUÇÃO: A análise reológica surgiu como uma abordagem promissora para o estudo das propriedades de cimentos endodônticos. OBJETIVO: O objetivo deste estudo foi avaliar, utilizando análise reológica, a viscosidade de dois cimentos endodônticos: à base de silicato de cálcio e à base de resina epóxi. MÉTODOS: Bio-C Sealer Plus Ion+ (Angelus, Brasil) e AH Plus Jet (Dentsply, Alemanha) foram medidos utilizando um reômetro rotacional de alto desempenho com controle de tensão,...

Leia mais
Água ozonizada e óleo essencial de melaleuca como irrigantes alternativos na erradicação de biofilmes multiespécies
Água ozonizada e óleo essencial de melaleuca como irrigantes alternativos na erradicação de biofilmes multiespécies

OBJETIVO: Avaliar a atividade antimicrobiana da água ozonizada e de uma solução de óleo essencial de melaleuca a 5%, em comparação com o hipoclorito de sódio (NaOCl) a 2,5%, utilizando contaminação intratubular com Candida albicans, Enterococcus faecalis e Staphylococcus aureus. MATERIAL E MÉTODOS: Sessenta e cinco pré-molares inferiores humanos recém-extraídos foram divididos em quatro grupos (n=20), de acordo com a solução de irrigação utilizada: NaOCl; solução de óleo...

Leia mais
Tratamento endodôntico-periodontal de um incisivo lateral superior com fusão dentária e sulcos radiculares: relato de caso
Tratamento endodôntico-periodontal de um incisivo lateral superior com fusão dentária e sulcos radiculares: relato de caso

INTRODUÇÃO: O sulco radicular é uma anomalia de desenvolvimento caracterizada por uma invaginação linear que se estende da coroa em direção à raiz, podendo estar localizada na face vestibular ou palatina. Sua presença pode predispor a alterações periodontais e endodônticas, dificultando o diagnóstico e comprometendo o prognóstico. OBJETIVO: Este relato descreve o tratamento endodôntico- -periodontal de um incisivo lateral superior direito com dois sulcos radiculares profundos,...

Leia mais
Is Artificial Intelligence surpassing human intelligence, or are we just forgetting how to think?
Is Artificial Intelligence surpassing human intelligence, or are we just forgetting how to think?

Artificial Intelligence (AI) has made impressive advances and gained notoriety in recent years. From generating text and images to making medical diagnoses, there's a growing and disturbing sense that we're being outmaneuvered by machines. But is AI really smarter than us? Or are we simply undertraining professionals? The question isn't trivial. Many see AI as a threat to critical thinking, creativity, and human autonomy. Tools that should help us often end up replacing us. Students turn to...

Leia mais
Treatment of an endo-periodontal lesion in a maxillary molar with C-shaped anatomy: case report with tomographic follow-up
Treatment of an endo-periodontal lesion in a maxillary molar with C-shaped anatomy: case report with tomographic follow-up

OBJECTIVE: To report the treatment of an endo-periodontal lesion in a maxillary molar with C-shaped anatomy and present complete healing after one year of follow-up with cone-beam computed tomography (CBCT). CASE REPORT: A 15-year-old male patient sought treatment complaining of pain, difficulty chewing, and the presence of a fistula on the buccal mucosa of tooth #17. Fistulography showed the gutta-percha cone extending to the furcation area, while periodontal probing revealed a pocket on...

Leia mais
Evaluation of preparation quality and torsional fatigue of heat-treated NiTi instruments after instrumentation of root canals at body temperature
Evaluation of preparation quality and torsional fatigue of heat-treated NiTi instruments after instrumentation of root canals at body temperature

OBJECTIVE: The aim of this study was to evaluate, using micro-computed tomography (micro-CT), the shaping ability and safety of different endodontic instruments in mesial canals of mandibular molars after use at 37ºC and 20ºC. METHODS: Thirty-six extracted human mandibular molars were scanned by micro-CT and divided into three groups (n=12) according to the instrumentation system: Reciproc Blue (REC), ProDesign R (PDR), and X1 Blue File (X1), and further subdivided by temperature (n=6; 20ºC...

Leia mais
Clinical and diagnostic considerations of an inflammatory external resorption associated with periodontal lesion: case report
Clinical and diagnostic considerations of an inflammatory external resorption associated with periodontal lesion: case report

INTRODUCTION: External inflammatory resorption presents a challenging diagnosis for identification of the extent and nature of the process, especially when the resorption defect is located on the buccal or palatal surfaces. OBJECTIVE: To describe the diagnosis and treatment of a patient with external inflammatory resorption in a permanent tooth associated with advanced periodontitis. CASE REPORT: The patient presented periodontitis with extensive bone loss in the lower anterior teeth and an...

Leia mais
Selective endodontic retreatment of a chronic apical abscess guided by CBCT: a case report
Selective endodontic retreatment of a chronic apical abscess guided by CBCT: a case report

INTRODUCTION: Cutaneous sinus tracts of dental origin represent a diagnostic and therapeutic challenge, particularly when extraoral manifestations are present. Cone-beam computed tomography (CBCT) can be pivotal in identifying previously untreated canals and guiding minimally invasive retreatment. METHODS: This article aims to present the clinical case of a 19-year-old male patient who presented with a persistent extraoral lesion in the right submandibular region, lasting two years.

Leia mais
Comparative antimicrobial efficacy of N-acetylcysteine and calcium hydroxide against Enterococcus faecalis: an in vitro study
Comparative antimicrobial efficacy of N-acetylcysteine and calcium hydroxide against Enterococcus faecalis: an in vitro study

OBJECTIVE: To evaluate and compare the antimicrobial effectiveness and speed of action of N-acetylcysteine (NAC) and calcium hydroxide [Ca(OH)₂] against Enterococcus faecalis over 24, 48, 72, and 96 hours using in vitro microbiological analysis. MATERIAL AND METHODS: Standardized cultures of E. faecalis (ATCC 29212) were exposed to NAC (200 mg/mL) and Ca(OH)₂ for different incubation periods. The control group consisted of bacterial cultures with no medicament. Colony-forming units...

Leia mais
A rheological analysis of calcium silicate-based and epoxy resin-based endodontic sealers
A rheological analysis of calcium silicate-based and epoxy resin-based endodontic sealers

INTRODUCTION: Rheological analysis has emerged as a promising approach for studying the properties of endodontic sealers. OBJECTIVE: The aim of this study was to evaluate the viscosity of two endodontic sealers: calcium silicate-based and epoxy resin-based, using rheological analysis. METHODS: Bio-C Sealer Plus Ion+ (Angelus, Brazil) and AH Plus Jet (Dentsply, Germany) were measured using a high-performance stress-controlled rotational rheometer, with the shear rate ranging from 0.0001 to...

Leia mais
Ozonated water and tea tree essential oil as alternative irrigants in the eradication of multispecies biofilm
Ozonated water and tea tree essential oil as alternative irrigants in the eradication of multispecies biofilm

OBJECTIVE: In this study, the antimicrobial activity of ozonated water and a 5% tea tree oil solution was evaluated in comparison to 2.5% sodium hypochlorite (NaOCl) using intratubular contamination with Candida albicans, Enterococcus faecalis and Staphylococcus aureus. Materials and methods: Sixty-five recently extracted human mandibular premolars were divided into four groups (n=20) according to the rinsing solution used: NaOCl; TTO - tea tree oil solution; OW - ozonated water (n=5)....

Leia mais
Endodontic-periodontal treatment of a maxillary lateral incisor with dental fusion and root grooves: case report
Endodontic-periodontal treatment of a maxillary lateral incisor with dental fusion and root grooves: case report

INTRODUCTION: The radicular groove is a developmental anomaly characterized by a linear invagination extending from the crown toward the root, which may be located on either the buccal or palatal surface. Its presence may predispose to periodontal and endodontic complications, hindering diagnosis and compromising prognosis. OBJECTIVE: This report describes the endodontic-periodontal management of a maxillary right lateral incisor with two deep radicular grooves, one on the buccal and the...

Leia mais

Copyright © 1996 - 2024 DentalGO | Todos Direitos Reservados. DentalGO é uma marca Dental Press

Login