Artigo: Tratamento de Classe II com alinhadores Self®: relato de caso clínico - Clinical 2025 v24n04 - DentalGO


Tratamento de Classe II com alinhadores Self®: relato de caso clínico

Caso Clínico

INTRODUÇÃO: Os alinhadores ortodônticos têm revolucionado a maneira de tratar as mais diversas más oclusões, proporcionando aos pacientes maior conforto, estética e facilidade na higienização, além de reduzir a necessidade de consultas de emergência e a quantidade de visitas ao consultório. No entanto, se essa tecnologia não for compreendida adequadamente, pode virar um problema para o ortodontista. Entre as dificuldades de se tratar pacientes com alinhadores, encontram-se: erros de diagnóstico, inexperiência na manipulação dos softwares de planejamento digital e a...

Autores: Priscila Rodrigues da SILVA, Liliam Monteiro Cunha JACOB, Suzelei RODGHER, 

Alinhadores e ancoragem esquelética: quando a Ortodontia digital se alinha à biomecânica
Alinhadores e ancoragem esquelética: quando a Ortodontia digital se alinha à biomecânica

Há pouco tempo, a ideia de tratar casos complexos exclusivamente com alinhadores parecia ousada — talvez até utópica. Eu posso até estar equivocado, mas creio que, nos próximos 10 ou 20 anos, dificilmente a Ortodontia caminhará em um rumo diferente daquele que já vivenciamos hoje. A integração entre alinhadores e a ancoragem esquelética representa uma revolução que veio para ficar na Ortodontia moderna. Essa associação amplia a previsibilidade biomecânica e vence as...

Leia mais
Entrevista com Maria Luiza Oliveira
Entrevista com Maria Luiza Oliveira

É com imenso carinho e respeito que apresentamos a Profa. Maria Luiza Oliveira, uma mulher cuja trajetória é marcada por escolhas conscientes, dedicação profunda e um olhar atento ao que realmente importa. Nascida em Belo Horizonte, ela descobriu ainda muito jovem sua vocação para o cuidado com o outro. Aos 15 anos, escolheu o Magistério, desejando alfabetizar crianças e transformar vidas por meio da educação. Ingressou no curso de Pedagogia, mas o destino, com sua delicada...

Leia mais
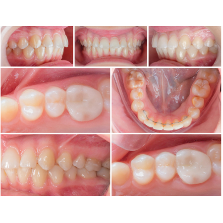
Tratamento precoce de má oclusão de Classe II esquelética com Ortopedia Funcional: estabilidade após 15 anos
Tratamento precoce de má oclusão de Classe II esquelética com Ortopedia Funcional: estabilidade após 15 anos

OBJETIVO: Este artigo tem como objetivo apresentar um caso clínico de um paciente com 7 anos de idade, má oclusão de Classe II, divisão 1, e importante protrusão dos incisivos superiores. RELATO DO CASO: O tratamento precoce proposto foi o uso de um aparelho ortopédico funcional. O tratamento durou 10 meses e ótimos resultados dentofaciais foram alcançados. Após 3 anos, a fase 2 foi realizada com aparelhos fixos e elástico de Classe II, atingindo resultados clínicos dentofaciais...

Leia mais
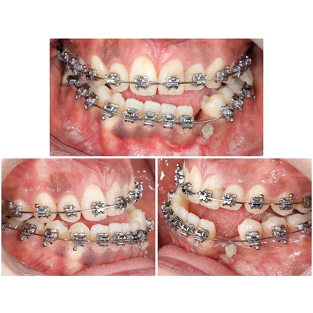
Tratamento de Classe Il usando uma estratégia biomecânica para avanço mandibular com alinhadores
Tratamento de Classe Il usando uma estratégia biomecânica para avanço mandibular com alinhadores

INTRODUÇÃO: A má oclusão de Classe II é frequente, e diversas abordagens terapêuticas têm sido utilizadas, incluindo aparelhos ortopédicos funcionais e, mais recentemente, alinhadores com recursos de avanço mandibular. OBJETIVO: Relatar dois casos clínicos de pacientes com má oclusão de Classe II tratados com alinhadores ortodônticos, utilizando avanço mandibular, evidenciando os efeitos dentoesqueléticos obtidos e reforçando a importância do momento adequado para início da...

Leia mais
Extrusão ortodôntica rápida para reconstrução de molares: relato de caso
Extrusão ortodôntica rápida para reconstrução de molares: relato de caso

INTRODUÇÃO: Diante de cáries profundas e reconstruções dentárias, o dentista pode precisar que os dentes sejam extruídos, para preservar a largura biológica. A Ortodontia oferece várias maneiras de atingir esse objetivo, mas a escolha ideal é sempre desafiadora. OBJETIVO: Este artigo tem como objetivo ilustrar um método simples para extruir um molar que requer reabilitação protética. RELATO DE CASO: Foi realizada a extrusão ortodôntica rápida de um molar superior que...

Leia mais
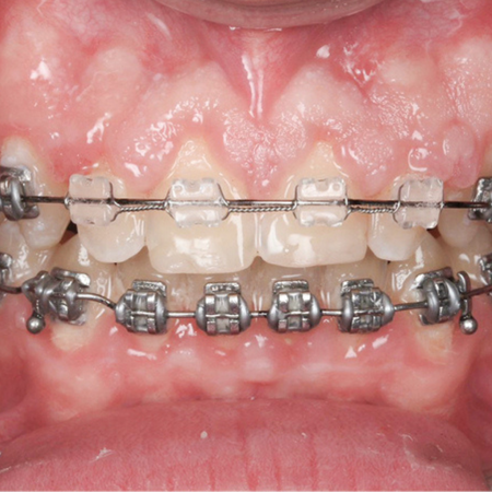
Tratamento de Classe II com alinhadores Self®: relato de caso clínico
Tratamento de Classe II com alinhadores Self®: relato de caso clínico

INTRODUÇÃO: Os alinhadores ortodônticos têm revolucionado a maneira de tratar as mais diversas más oclusões, proporcionando aos pacientes maior conforto, estética e facilidade na higienização, além de reduzir a necessidade de consultas de emergência e a quantidade de visitas ao consultório. No entanto, se essa tecnologia não for compreendida adequadamente, pode virar um problema para o ortodontista. Entre as dificuldades de se tratar pacientes com alinhadores, encontram-se:...

Leia mais
Camuflagem de Classe III esquelética em paciente jovem com assimetria mandibular, utilizando ancoragem esquelética
Camuflagem de Classe III esquelética em paciente jovem com assimetria mandibular, utilizando ancoragem esquelética

OBJETIVO: Relatar o caso clínico de paciente com má oclusão de Classe III esquelética, assimetria mandibular e mordida aberta anterior. CASO CLÍNICO: O tratamento escolhido foi a camuflagem da Classe III, com instalação de miniplacas na região infrazigomática e na região dos caninos inferiores, bilateralmente. Inicialmente, foram utilizados elásticos intermaxilares com forças assimétricas, visando a correção do desvio da linha média e da relação molar. Após o...

Leia mais
Sutilezas clínicas para o ortodontista estar esperto
Sutilezas clínicas para o ortodontista estar esperto

INTRODUÇÃO: Algumas situações são apontadas como decorrentes do tratamento ortodôntico, mas não o são. Em três situações sutis, o ortodontista deve estar esperto para explicar, aos pacientes e a outros especialistas, as verdadeiras causas que podem ocorrer antes, durante e depois do tratamento ortodôntico. METODOLOGIA: A partir da experiência clínica e experimental prévia, se reviu a etiopatogenia e a abordagem clínica dessas três situações. RESULTADOS: Essas três...

Leia mais

Copyright © 1996 - 2024 DentalGO | Todos Direitos Reservados. DentalGO é uma marca Dental Press

Login